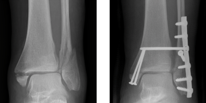
New Addition: Ankle Open Reduction and Internal Fixation
We are pleased to announce that we have added a new surgery to the Perioperative Pain Management Pathway. You can now review the pain management best practices for an ankle open reduction and internal fixation, over in our collection of orthopedic procedures.
A big thank you to Dr. Liban Ahmed and Dr. Brian Nishimura, with Trillium Health Partners, for putting together this material.

